Cabinet dentaire des Drs ROZENSZTAJN, DOUX & GIRARDOT à Morlaas
Chirurgiens Dentistes à MORLAAS, près de Pau - 64
5 Avenue du Luy de France, 64160 MORLAAS
+33 5 59 33 40 16
Cabinet dentaire des Drs ROZENSZTAJN, DOUX & GIRARDOT à Morlaas
Chirurgiens Dentistes à MORLAAS, près de Pau - 64

Blog - Page 4

Eclaircissement ambulatoire

Eclaircissement ambulatoire

Comblement de sinus par voie latérale (sinus lift) avec implantation différée

Comblement de sinus par voie latérale (sinus lift) avec implantation différée

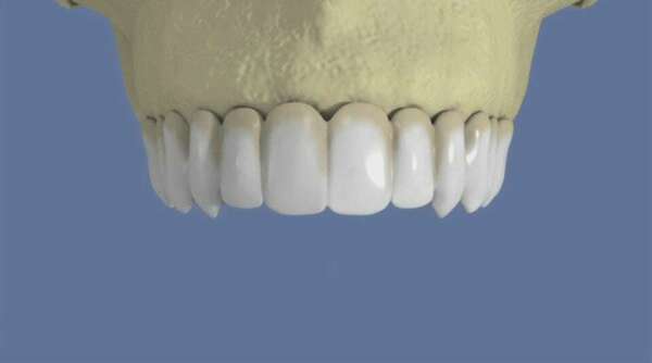
Maxillaire : bridge vissé sans fausse gencive

Maxillaire : bridge vissé sans fausse gencive

Le traitement non chirurgical de la parodontite

Le traitement non chirurgical de la parodontite

Le cas spécifique de la luxation de la mâchoire

Le cas spécifique de la luxation de la mâchoire

Fixation d’une prothèse par une barre sur 4 implants

Fixation d’une prothèse par une barre sur 4 implants

Affichage des articles 19-24 sur 160